十一月儿童牙科病例
-
所属分类:
基础牙科
-
浏览次数:
...
- 发布时间: 2017-12-20
姓名:王xx 性别:女 年龄:5岁
病历号:xxxxx
初诊时间:2017年11月10日
复诊时间:2017年12月7日
主诉:要求检查。
现病史:左下后牙3月前因龋坏拔除,现要求检查。
既往史:体健,否认传染病史及药物过敏史。
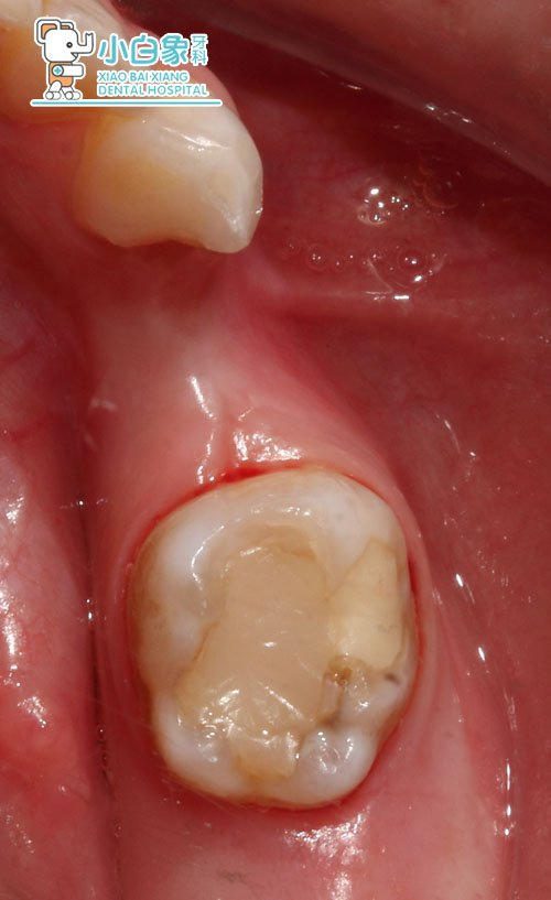
检查:74缺失,牙龈无红肿,龈合距尚可。75合面见大面积牙体色材料,叩(-),牙龈无红肿。
诊断:74早失
治疗方案:74间隙保持器
发布时间: 2017-12-20
姓名:王xx 性别:女 年龄:5岁
病历号:xxxxx
初诊时间:2017年11月10日
复诊时间:2017年12月7日
主诉:要求检查。
现病史:左下后牙3月前因龋坏拔除,现要求检查。
既往史:体健,否认传染病史及药物过敏史。
检查:74缺失,牙龈无红肿,龈合距尚可。75合面见大面积牙体色材料,叩(-),牙龈无红肿。
诊断:74早失
治疗方案:74间隙保持器

治疗过程:75试戴预成冠,取模,制作间隙保持器。


治疗过程: 一周复诊,试戴,隔湿干燥粘结。
医嘱:定期复查
